Un adolescente de 14 años de Sevilla, España, vivió un mes con un cristal en su cara y no se había dado cuenta.
Un artículo publicado en The Journal of Emergency Medicine dio cuenta de la situación: el joven se había golpeado con una ventana y se desmayó. Los doctores lo suturaron, pero después de un mes sentía dolor al masticar y mover la mandíbula.
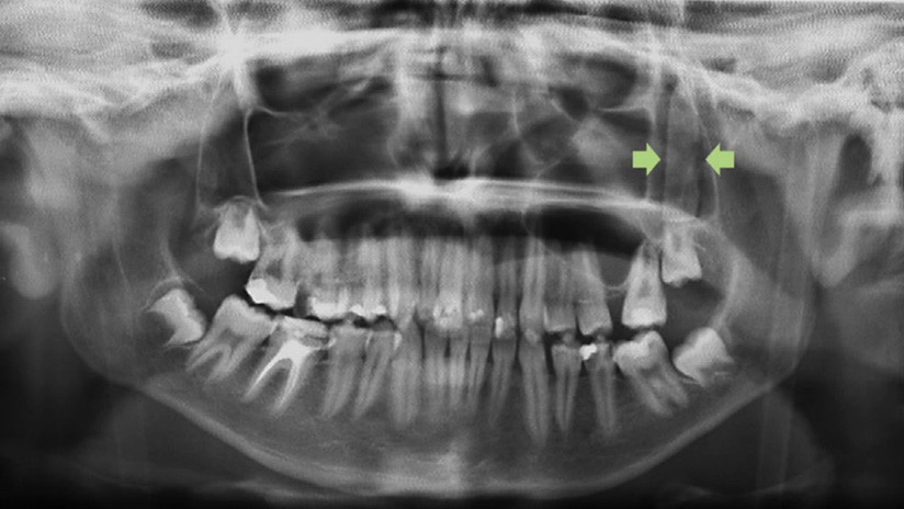
Fue a urgencias y una tomografía computarizada reveló que detrás de un pómulo tenía un objeto rectangular de 3,5 cm de longitud, con forma de hoja de cuchillo.
Se le sometió a cirugía para sacar el cristal, con buenos resultados. Los médicos tildan el caso como "relativamente raro".
